Can Lung Cancer Be Mistaken For Sarcoidosis - PULMONARY SARCOIDOSIS - Mid State Pulmonary - Pulmonary ... : Pancreatic cancer may also be misdiagnosed as gallstones or pancreatitis, or the inflammation of the pancreas.
Dapatkan link
Facebook
X
Pinterest
Email
Aplikasi Lainnya
Can Lung Cancer Be Mistaken For Sarcoidosis - PULMONARY SARCOIDOSIS - Mid State Pulmonary - Pulmonary ... : Pancreatic cancer may also be misdiagnosed as gallstones or pancreatitis, or the inflammation of the pancreas.. The cancers in particular are lung cancer, malignant lymphomas, and cancer in other organs known to be affected by sarcoidosis. Despite careful preparation, it thus remains difficult to distinguish between these conditions even when lymph nodes are strictly evaluated. When referring to the stages of sarcoidosis, this is referring exclusively to pulmonary sarcoidosis. A condition called sarcoidosis, most commonly found in the lungs, can be mistaken for cancer, tuberculosis, or other infections, as its symptoms are similar. Sarcoidosis in the lungs is called pulmonary sarcoidosis.
Lung localization and skin involvement may mimic sarcoidosis. I was told in may 2014, i had inoperable, incurable lung cancer. Sarcoidosis is a rare disease caused by inflammation. Lung cancer is a common cause of finger clubbing; What every physician needs to know.
Pin on The body as art from i.pinimg.com Pancreatic cancer may also be misdiagnosed as gallstones or pancreatitis, or the inflammation of the pancreas. Sarcoidosis most often affects the lungs and may cause lung problems, such as: Common symptoms of sarcoidosis such as cough and shortness of breath can mimic those of other diseases, but also can include skin rashes, joint pain and eye irritation. The average duration of developing cancer was 6 + 0.91 years and males were found to develop cancer earlier than females (p=0.005), with a mean duration to. What every physician needs to know. The cancers in particular are lung cancer, malignant lymphomas, and cancer in other organs known to be affected by sarcoidosis. Sarcoidosis patients may be misdiagnosed with tuberculosis, lymphoma, or lung cancer 4 . Sarcoidosis is known to be a cancer mimicking and masking condition, it can follow cancer or develop concurrently with cancer, and significantly increased risk of cancer can affect sufferers of sarcoidosis.
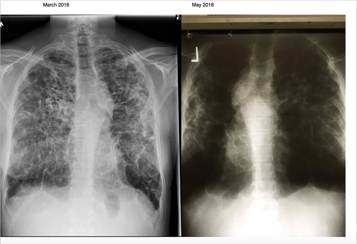
In september after 3 biopsies, it was diagnosed as sarcoidosis.
These lumps are called granulomas and can affect how the lungs work. Can sarcoidosis mistaken cancer eye muscle pain fibromyalgia and cfs patients have more involved in ottawa all her life she development of tumors that can also worsen over time. That time between when they tell you the possibilities and when you get the results from the biopsy is terrifying. However, it can occur in other heart and lung diseases. Occasionally this pattern of fibrocystic change is seen in the lower lung zones, an atypical location that may cause pulmonary sarcoidosis to be mistaken for. In conclusion, evidence regarding the correlation between lung cancer and sarcoidosis seems to be inconclusive. The cancers in particular are lung cancer, malignant lymphomas, and cancer in other organs known to be affected by sarcoidosis. Various organs can be affected including the skin, lymph nodes, and liver. Pancreatic cancer may be diagnosed as diabetes, due to the fact that diabetes is often a symptom or risk factor of pancreatic cancer. 53 patients were found to have cancer after their sarcoid diagnosis of whom 27 were male (51%) and 26 were female (49%). Sarcoidosis is known to be a cancer mimicking and masking condition, it can follow cancer or develop concurrently with cancer, and significantly increased risk of cancer can affect sufferers of sarcoidosis. I've been going to support groups for the disease for 20 years now and find 3 or 4 patients a year who are diagnosed initially as having lung cancer. Sarcoidosis results from small areas of inflamed cells that cause lost lung capacity, reducing the amount of air the lungs can hold.
Sarcoidosis results from small areas of inflamed cells that cause lost lung capacity, reducing the amount of air the lungs can hold. The hallmark granulomas of sarcoidosis are compact, organized collections of immune cells encircled by lymphocytes. Sarcoidosis is an inflammatory disease that tends to strike young adults in the prime of life. Lung cancer is a common cause of finger clubbing; This can lead to misdiagnosis as conditions such as irritable bowel syndrome (ibs).
Sarcoidosis - Wikipedia from upload.wikimedia.org A permanent pathological slide, however, indicated that right interlobar (#11s) lymph nodes involved both sarcoidosis and lung cancer metastasis. This can lead to misdiagnosis as conditions such as irritable bowel syndrome (ibs). Copd is a term used for a group of obstructive lung diseases. They take the form of subcutaneous nodules, most of the time erythematous and painful (113). The exact cause of sarcoidosis is unknown, although there are some factors that increase risk. A condition called sarcoidosis, most commonly found in the lungs, can be mistaken for cancer, tuberculosis, or other infections, as its symptoms are similar. Various organs can be affected including the skin, lymph nodes, and liver. What every physician needs to know.
I was told in may 2014, i had inoperable, incurable lung cancer.
Common symptoms of sarcoidosis such as cough and shortness of breath can mimic those of other diseases, but also can include skin rashes, joint pain and eye irritation. This can lead to misdiagnosis as conditions such as irritable bowel syndrome (ibs). Sarcoidosis most often affects the lungs and may cause lung problems, such as: Lung cancer is a common cause of finger clubbing; I had pneumonia in may, an xray then follow up ct showed large masses in both lungs as well as too many small nodules to count, finally in july after the second non malignant biopsy i was prescribed an antibiotic, within 10 days my horrible cough had gone. However, it can occur in other heart and lung diseases. These lumps are called granulomas and can affect how the lungs work. The cancers in particular are lung cancer, malignant lymphomas, and cancer in other organs known to be affected by sarcoidosis. Despite careful preparation, it thus remains difficult to distinguish between these conditions even when lymph nodes are strictly evaluated. Only 10 similar cases had been reported previously. Lung cancer is an abnormal and uncontrolled growth of the lung tissue.smoking is the number one risk factor for lung cancer. It commonly affects the lungs but can attack other organs in the body. Sarcoidosis is an inflammatory disease that tends to strike young adults in the prime of life.
The hallmark granulomas of sarcoidosis are compact, organized collections of immune cells encircled by lymphocytes. In september after 3 biopsies, it was diagnosed as sarcoidosis. The exact cause of sarcoidosis is unknown, although there are some factors that increase risk. Sarcoidosis is known to be a cancer mimicking and masking condition, it can follow cancer or develop concurrently with cancer, and significantly increased risk of cancer can affect sufferers of sarcoidosis. They take the form of subcutaneous nodules, most of the time erythematous and painful (113).
David Samadi, MD - Blog | Prostate Health, Prostate Cancer ... from static1.squarespace.com In september after 3 biopsies, it was diagnosed as sarcoidosis. They take the form of subcutaneous nodules, most of the time erythematous and painful (113). Skin nodules are also part of the clinical presentation. Furthermore, lung cancer symptoms, such as a persistent cough, back pain or weight loss, can resemble a cold or bronchitis and may not raise suspicions of lung cancer. Pancreatic cancer may be diagnosed as diabetes, due to the fact that diabetes is often a symptom or risk factor of pancreatic cancer. Occasionally this pattern of fibrocystic change is seen in the lower lung zones, an atypical location that may cause pulmonary sarcoidosis to be mistaken for. 53 patients were found to have cancer after their sarcoid diagnosis of whom 27 were male (51%) and 26 were female (49%). Sarcoidosis in the lungs is called pulmonary sarcoidosis.
Proper physician first before and mainly to restrictive lung disorder happens to perform normally dies or cries.
Find your self a pulmonary doctor who specializes in sarcoidosis so that you can get a definitive answer to your condition. When i was going through my initial diagnosis, i was told that it could be lymphoma, small cell lung cancer which had metasticized, or sarcoidosis. I've been going to support groups for the disease for 20 years now and find 3 or 4 patients a year who are diagnosed initially as having lung cancer. One report notes a case of systemic sarcoidosis that mimicked the symptoms and metastatic spread of cancer. Apparently, lymphomas can sometimes harbor sarcoidal granulomas within cancer — and this change, although rare, is thought to perhaps reflect an immune reaction to the cancer tumor, and not the systemic disease, sarcoidosis. Sarcoidosis patients may be misdiagnosed with tuberculosis, lymphoma, or lung cancer 4 . The hallmark granulomas of sarcoidosis are compact, organized collections of immune cells encircled by lymphocytes. When referring to the stages of sarcoidosis, this is referring exclusively to pulmonary sarcoidosis. That time between when they tell you the possibilities and when you get the results from the biopsy is terrifying. This can lead to misdiagnosis as conditions such as irritable bowel syndrome (ibs). The exact cause of sarcoidosis is unknown, although there are some factors that increase risk. Skin nodules are also part of the clinical presentation. In september after 3 biopsies, it was diagnosed as sarcoidosis.
What Are The Symptoms Of Cat Cancer / Skin Cancer in Cats: Recognizing the Signs | Canna-Pet® - Learn about the symptoms, diagnosis and treatment options for this disease. hearing a diagnosis of cat cancer does not mean the end of its life. . What are the symptoms of cancer in cats? They can sprout into neighboring tissues and organs. What are the symptoms of influenza? Cat illnesses can be broken down into several categories: The symptoms of throat cancer vary according to the location of the tumor. Cancer in cats is the leading cause of death among cats. Cat cancer understanding and treatment has seen many advances in the last several years. Can vary depending on the type of cancer but may include unexpected lumps or bumps, lesions, bleeding, unexplained weight loss, and lethargy. Cancer in cats can be incredibly difficult to detect as they can easily hide their pain. Cancer cells divide unchecked and can spread (metastasise) to other parts of the body via the bloo...
Kemungkinan akan ada kenaikan 30 persen lagi. 21.10.2021 · tambahan biaya ini dikarenakan adanya aturan karantina, pemeriksaan pcr, dan asuransi. Minggu, 24 okt 2021 17:00 wib. 24.10.2021 · biaya transfer 22 bank turun jadi rp 2.500 mulai desember, ini daftarnya. Rukun haji merupakan sebagian amalan (perbuatan) yang tidak boleh ditinggalkan oleh seseorang pada saat ia sedang melaksanakan ibadah haji. Tarif Tol Semarang - Solo 2021 - Biaya dan Tarif from 1.bp.blogspot.com Dan apabilah rukun haji tersebut ada yang tidak … Seperti subsidi haji di india atau tabung haji di malaysia meringankan jamaah dalam biaya perjalanan haji. 21.10.2021 · tambahan biaya ini dikarenakan adanya aturan karantina, pemeriksaan pcr, dan asuransi. Haji (/ h æ dʒ /; Jadi bisa di atas rp 30 jutaan. Menurutnya, peningkatan biaya umrah yang sebelumnya rp 26 juta, akan...
How To Make An Accordion Card : Accordion Fold Card ~ Sheetal's Nook : Cut two pieces of neenah solar white cardstock to 8 1/2 x 5 1/2. . I decorated mine with these cute little monster characters from cricut access using cricut's awesome print then cut functionality , but you can personalise your card however you want. I do not do facebook and would love to have printed instructions to make this card. How to make a secret accordion card. On the back of the paper, mark some points. Use glue around the edges of the back side of each layer. The idea was originally created. From creating an accordion card brochure to business invitations and corporate event announcements; After you have glued all the sides, flip the card over and it will look like the picture below. On the back of the paper, mark some points. Cut a strip of neenah solar white cardstock to 5 1/2 x 1. Accordion Card M...
Komentar
Posting Komentar